Ws Sensor Analysis Report - Day 107

Summary Statistics (All Ws Sensors)

Detail Section

VI and VO Daily Summary

figure_10.png
figure_11.png

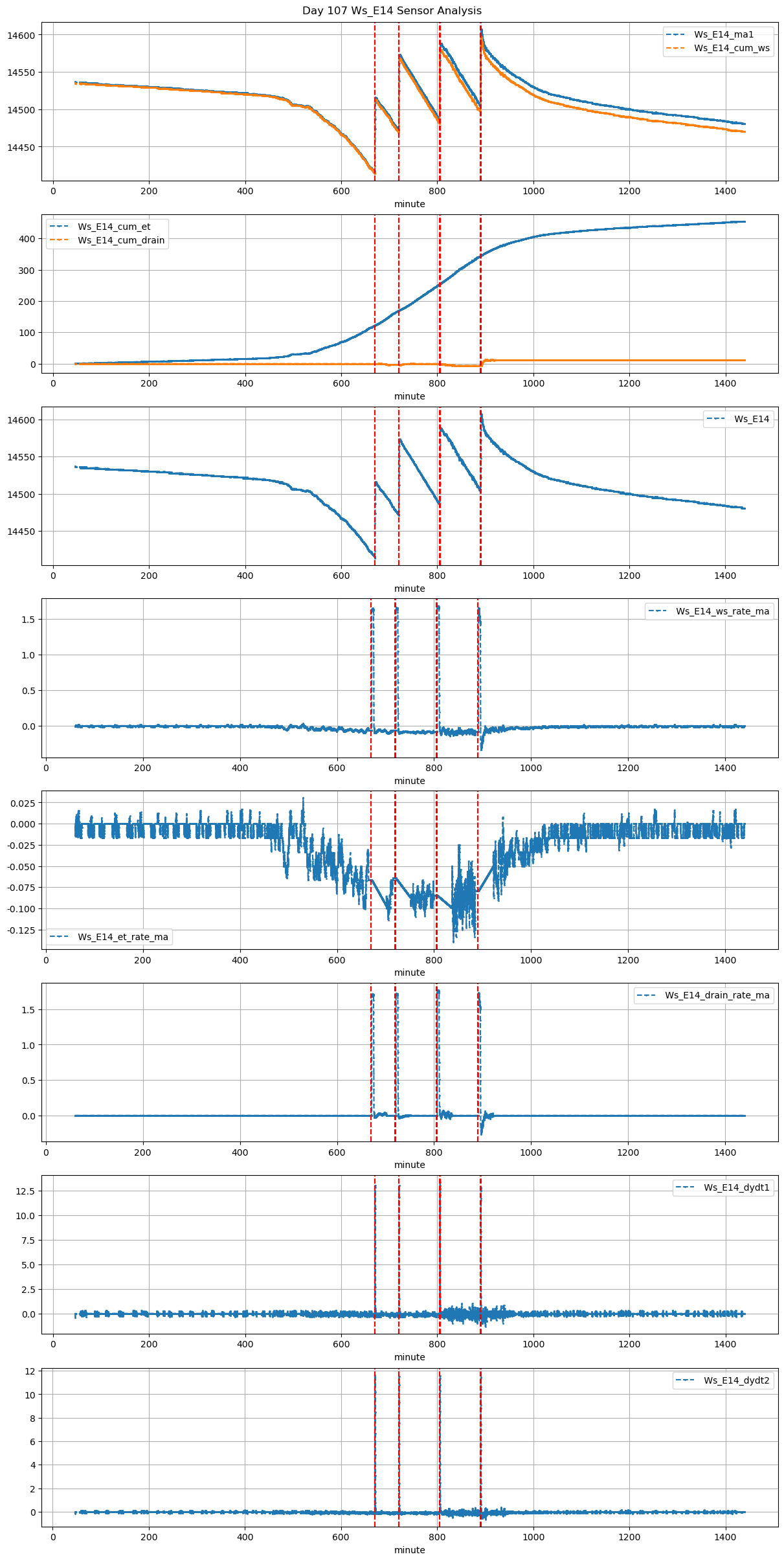
Summary Statistics - Ws_E14

Ws Cleaning Summary Table - Ws_E14

ws_name total_dp nan_dp nan_filled_dp long_gap_dp num_spike
Ws_E14 16723 87 13194 87 1

Fertigation Events Details Table - Ws_E14

ds d m ws_name prominence_cut max_drain_du fg_beg fg_beg_est fg_end fg_end_est drain_amount_by_fc drain_du_by_fc drain_rate_by_fc ws_beg ws_end duc pre_fg_et post_fg_ws post_drn_et fg_rate_by_dydt fg_rate_by_dWs fg_stay_amount fg_beg_delta fg_end_delta fg_total_amount fg_drain_amount postFg_drain_amount field_capacity_est total_drain_amount
2026-01-21 11:10:00+08:00 107 670 Ws_E14 0.287362 30 670.0 670.333333 670.6 671.583333 NaN NaN NaN 14417.0 14516.0 36 -0.066215 -0.089306 -0.097083 0.408571 0.550000 19.8 20.0 59.0 19.8 0.0 -0.737355 NaN -0.737355
2026-01-21 12:00:00+08:00 107 720 Ws_E14 0.287362 30 720.0 720.250000 720.6 721.583333 NaN NaN NaN 14474.0 14574.0 36 -0.064407 -0.097083 -0.087377 0.404857 0.555556 20.0 15.0 59.0 20.0 0.0 0.709854 NaN 0.709854
2026-01-21 13:25:00+08:00 107 805 Ws_E14 0.287362 30 805.0 805.333333 805.6 806.666667 NaN NaN NaN 14489.0 14589.0 36 -0.084663 -0.090694 -0.099306 0.404000 0.555556 20.0 20.0 64.0 20.0 0.0 -1.194945 NaN -1.194945
2026-01-21 14:50:00+08:00 107 890 Ws_E14 0.287362 30 890.0 890.333333 890.6 891.666667 NaN NaN NaN 14507.0 14608.0 36 -0.079237 -0.221806 -0.050417 0.406571 0.561111 20.2 20.0 64.0 20.2 0.0 3.450910 NaN 3.450910

Figures - Ws_E14

Figure figure_9.png
Figure figure_8.png
Figure figure_7.png
Figure figure_6.png
Figure figure_5.png
Figure figure_4.png